Follow us

instagram instagram facebook facebook Ticktok Ticktok

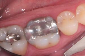
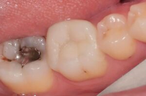
Restore your tooth from a metal filling to white filling

Filling
Dentures

We’re proud to be an amalgam free clinic offering white fillings that are natural, and clean in appearance. We use the highest quality materials that are closely matched to your natural tooth to produce life-like results.

Updating to a white filling is a great preventative measure, as it helps create a smoother, more natural seal on the tooth. This reduces the risk of future issues such as food trapping, decay, and further damage, helping to maintain both the health and appearance of your smile.

At every attempt, we use a rubber sheet to isolate your tooth prior to restoration for your comfort and the protection of your airways.

Back to General Dentistry

Contact

Get in touch

Have questions about our treatments or ready to book your appointment? Getting in touch with Auckland Cosmetic Dental Clinic is easy!

Testimonials

Patient feedback

See what other patients are saying about their journeys to a brighter, healthier smile with us.

Read more
thumb1 testimonials

Janet L.

star

Having been a patient of the original dentist on this site for 20+ years, I was slightly anxious about being treated by a new dentist. Despite his young age, Zahn...

google thumb
thumb1 testimonials

Chelle D.

star

I have been with the practice for quite some time, but this was my first visit under the new management. I found the reception staff to be very welcoming, as...

google thumb
thumb1 testimonials

Shirley P.

star

All of the staff at the Auckland Cosmetic Dental Clinic are polite, friendly and professional. ZANE puts a nervous person like me at ease by explaining the process step by...

google thumb
thumb1 testimonials

June J.

star

Had an excellent experience yesterday when I had a tooth filling with Dr Zain Remy and his assistant. He was very professional in his approach, putting me at ease as...

google thumb
thumb1 testimonials

Maureen S.

star

Tommy has been brilliant since taking over my dental care. I had to have a tooth removed, and he was very kind and supportive during the extraction and made sure...

google thumb
thumb1 testimonials

Louise L.

star

After trying to find a dentist for just over a year, my husband has been at this practice for almost 35 years under a couple of different management teams. So,...

google thumb
thumb1 testimonials

Brian V.

star

I recently had a tooth extracted by Zain and his support team, as it was beyond repair. The experience was very professional, as I have come to expect since I...

google thumb
thumb1 testimonials

Mandy W.

star

I haven’t been to the dentist for 15 years. I was incredibly nervous going back, but Dr. Zain Remy was excellent. He explained everything, was very gentle, and was very...

google thumb
thumb1 testimonials

Helen W.

star

I am a new patient of Zain Remy’s at Auckland Cosmetic Dental Clinic. I have now seen Zain on three occasions, and he is a very knowledgeable, thorough and skilled...

google thumb
thumb1 testimonials

Jennifer A.

star

I recently attended this new Dental Clinic, I saw Dr Remy who immediately put me at ease, the whole place had a very relaxed friendly atmosphere unlike any other Dentist’s...

google thumb
thumb1 testimonials

Jane C.

star

I’ve been at this practice for nearly 60 years, and it has undergone three ownership changes during that time. I recently had some work done, and I was very impressed...

google thumb
thumb1 testimonials

Stephen C.

star

Initially apprehensive about change, as the practice took a new path with Zain Remy, my family and I are pleased with the care and professionalism that Zain and his staff...

google thumb
thumb1 testimonials

Sophie

star

I visited the Auckland Cosmetic Dental Clinic. FromClinic. From the moment I arrived, the reception team made me feel welcome and valued. Dr Remy conducted an initial assessment to confirm...

google thumb
thumb1 testimonials

David I.

star

After changing over from a lifetime of NHS dental treatment both my wife and myself can only praise the very high standard of treatment we received throughout our various procedures...

google thumb
thumb1 testimonials

Michelle H.

star

I had my first treatment under the new management with Taryn. I had a great experience. She is very friendly, easy to talk to, and very professional. I would recommend...

google thumb
thumb1 testimonials

John R.

star

Tommy at ACDC visits the dentist a pleasant experience. He is very passionate and knowledgeable about his work and has a personality to match. I would highly recommend him to...

google thumb
thumb1 testimonials

Kieron C.

star

I would highly recommend this dental practice. Each time I have attended so far, the dental examinations, information provided, and treatment received have been excellent. The premises are nice, clean,...

google thumb

Take the next step and schedule a consultation session

Enjoy £125 off our teeth straightening package and benefit from extended hours, including late nights until 7:30pm

Book an Appointment

Social Media

Follow us on social media

Follow Auckland Cosmetic Dental Clinic on Social Media!

Who said the dentist can’t be relaxing? ☁️🌴🌊

Chill out with the setting of your choice during your visit 😎

🌐 www.aucklandcosmeticdental.com
📞 01388 311 220
📧enquiries@aucklandcosmeticdental.com

#generaldentistry #bishopauckland #durhamdentist #privatedentistry #northeastdentist #cosmeticdentist
Book in when it’s convenient for you! We’re proud to offer extended opening times until 7:30pm Monday to Friday 🤩

🌐 www.aucklandcosmeticdental.com
📞 01388 311 220
📧enquiries@aucklandcosmeticdental.com 

#generaldentistry #bishopauckland #durhamdentist #privatedentistry #northeastdentist #cosmeticdentistry #smilemakeovers
✨ Upgrade your smile in 2 weeks! ✨

Dream smiles aren’t just for composite bonding! Get comfortable and cosmetic looking dentures from our award winning clinicians and practice in as little as 2 weeks! 🤩 

✔️ Fewer appointments
✔️ No messy traditional impressions with digital scanning
✔️ Custom fit for better comfort
✔️ Design your look with shade and shape options!

New patient consult required, scan to fit timescale subject to suitability 🦷

Book today!

🌐 www.aucklandcosmeticdental.com
📞 01388 311 220
📧enquiries@aucklandcosmeticdental.com 

#generaldentistry #bishopauckland #durhamdentist #privatedentistry #northeastdentist
✨ Small changes for big confidence boosts! ✨

Here we’ve closed our patient’s gap through teeth straightening to create a more even, balanced smile 😁

Enquire now:
🌐 www.aucklandcosmeticdental.com
📧 enquiries@aucklandcosmeticdental.com
📲 01388 311 220

#teethstraightening #generaldentistry #cosmeticdentistry #smiletransformation #invisalign
🦷✨ Win an Oral-B iO Series 2 Toothbrush! ✨🦷

We’re thrilled to be supporting @childcancernth with a charity raffle where you could win an Oral-B iO Series 2 Toothbrush, plus a £10 clinic voucher and additional discount vouchers on brush heads!

Children’s Cancer North is dedicated to making life better for children with cancer. They provide vital support to children undergoing treatment and their families, fund early-phase clinical trials, and support research to make treatments kinder and more effective.

To learn more about their incredible work, visit: https://childrenscancernorth.org.uk/

Tickets are just £2 each - ask our reception team to enter and help us support this amazing cause 🤗

100% of raffle proceeds will go directly to Children’s Cancer North 🧡

Our partners

Google Rating
4.6
Google Rating
Google-review